La cellule-œuf contient toutes les informations à l’origine des caractères. Cette cellule-œuf va se diviser pour donner un individu pluricellulaire. Toutes les cellules auront exactement le même bagage génétique.
Problème : Quel est le mécanisme à l’origine de la stabilité génétique ?
I- Maintenir une stabilité génétique au sein d’un individu :
Toutes les cellules d’un individu possèdent les mêmes 46 chromosomes, avec exactement les mêmes gènes et les mêmes allèles.
Activité 1 :
Cliquer ici : Activité 1 Stabilité du génotype OU Activité 1 Stabilité du génotype Adaptée
Cliquer ici: LOGICIEL
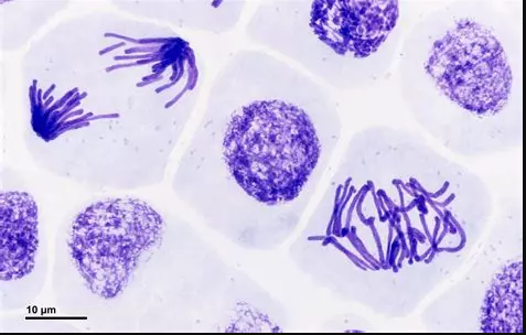
Activité 4 :
Cliquer ici : Activité 4 Observation des figures de mitose Adaptée OU Activité 4 Observation des figures de mitose
A) la duplication ou réplication de l’ADN.
BILAN 1 :
Juste avant la division cellulaire, la quantité d’ADN double car les chromosomes simples (à 1 bras = une chromatide) deviennent des chromosomes doubles (à 2 bras = deux chromatides), c’est la réplication ou duplication de l’ADN.
BILAN 1 (SUITE) :
– La MITOSE est une reproduction conforme d’une cellule.
– Lors de la mitose, les deux chromatides de chaque chromosome se séparent et sont réparties dans les deux cellules filles.
– De cette façon chaque cellule fille reçoit un nombre de paires de chromosomes identique à ceux de la cellule mère.
– La mitose est donc une multiplication cellulaire qui permet d’obtenir des cellules parfaitement identiques entre elles. On parle de stabilité génétique.
II. CYCLE CELLULAIRE ET DEREGLEMENTER DE LA
MITOSE, LA TUMEUR.
Activité 2 : Dérèglement des multiplications cellulaires
BILAN 2 :
Tout au long de la vie, les cellules se divisent : quand
l’organisme grandit, pour remplacer des cellules vieillissantes ou
pour régénérer des cellules (en cas de blessure, de brûlure).
Dans certains cas, la mitose se fait anormalement et peut entraîner une tumeur.
III – MAINTENIR UNE STABILITE GENETIQUE AU SEIN
D’UNE ESPECE :
Activité 3 : Clonage et parthénogénèse
Cliquer ici : PARTHENOGENESE
Cliquer ici : Reproduction asexuée
BILAN 3 :
La mitose permet aussi d’obtenir des populations d’individus identiques au sein d’une espèce lors de la reproduction asexuée. Cette stratégie permet à l’espèce d’obtenir un grand nombre d’individus conformes rapidement (clones).
C’est notamment utilisé en agroalimentaire et en horticulture.



