Cliquer sur votre niveaux, ou sur un autre pour réviser. 3ème 4ème 5ème 6ème
avril 2026 archives
Avr 01
THEME 3 : LA CONQUETE DE MARS, Chapitre 1 La Terre une planète habitable
Cliquer ici : Fiche de révision ADAPTATIONS Theme mars Fiche de révision Theme mars Lexique ADAPTATIONS Thème Mars Lexique Thème Mars Problème : Que faut-il pour conquérir et vivre sur Mars ? INTRODUCTION : Vidéo + schéma système solaire à compléter pour repositionner Mars I) UNE PLANETE HABITABLE. Problème : Quelles conditions …
Avr 01
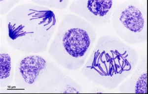
CHAPITRE 5 : Le maintien de la stabilité génétique
La cellule-œuf contient toutes les informations à l’origine des caractères. Cette cellule-œuf va se diviser pour donner un individu pluricellulaire. Toutes les cellules auront exactement le même bagage génétique. Problème : Quel est le mécanisme à l’origine de la stabilité génétique ? I- Maintenir une stabilité génétique au sein d’un individu : Toutes les …
